What Is A Mucus Plug In The Lung
Camila Farah

It is essential for body function and acts as a protective and moisturizing layer to keep critical organs from drying out.
Mucus also known as phlegm when it s produced by your respiratory system lines the tissues of your body such as your nose mouth throat and lungs and it helps protect you from infection. Mucus plug the excessive secretion of slippery substance produced by the cells lining the airways of the lungs is a result of various respiratory conditions that exhibit mucus hypersecretion. Mucus is a normal slippery and stringy fluid substance produced by many lining tissues in the body. They work by breaking the chemical bonds in mucus to help make the secretions easier to cough up.
Mucus also contains antibodies which traps as well as destroys these invaders. Phlegm in the lungs traps and removes inhaled particles cellular debris and dead and aging cells. Atelectasis is often associated with chronic lung diseases such as copd asthma ards bronchiectasis or lung cancer. Lung and airway mucus traps dust bacteria viruses and other airborne particles then gets slowly propelled towards the throat by the cilia the tiny hairs that line the airways.
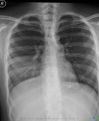
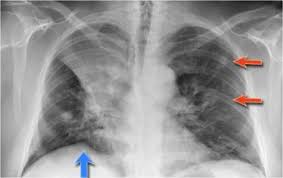
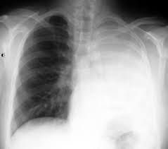
Mucus a slippery and sticky fluid found throughout the body plays an important role in the health of the respiratory system. If the mucous plug is in one of the smaller bronchial tubes the air behind the plug and the smallest airways called alveoli gets absorbed and this condition is called atelectasis. Mucus also acts as a trap for irritants like dust smoke or bacteria. Mucus plugs in the lungs generally develop in response to chronic underlying conditions of the respiratory or nervous system that weaken the lungs or surrounding muscles.
RELATED ARTICLE :
- what president is on the thousand dollar bill
- what part of the pig is pork chops
- what president is on the ten dollar bill
A lung mucus plug occurs when too much of the naturally occurring mucus is present without being cleared away through the normal processes. A term patient gradually loosing the mucus plug is indicating progression towards labor. What is mucus plug in the lungs. The mucous membrane lining also helps in maintaining moistness of the respiratory tract.
Source : pinterest.com


















