What Happens If You Hold In A Sneeze
Olivia Luz

Tune in for more updates.
The way you sneeze when you re home alone is entirely different from when you re in a meeting with your boss or at dinner with a date. 16 2018 healthday news holding your nose and closing your mouth when you feel a sneeze coming on just might lead to serious trouble. Then your sneeze is less roaring lion and more squeaking mouse. We hope with these aforementioned consequences we ve been able to change your mindset.
Holding in your sneeze when you re with other people seems like the polite course of action. As described by christine dell amore for national geographic news a sneeze will also reset or. If you do not move away fast enough some droplets may land in the. Turns out holding in your sneezes isn t terrible for your health but it isn t good either.
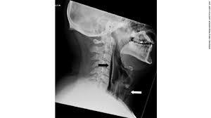
When you hold in a sneeze air and pressure can travel up your eustachian tubes small passageways linking your throat to your middle ear and cause your eardrum to rupture. But if you happen to be one of these unlucky cases wild said a holding in a sneeze may lead to several unhealthy situations. At worst you can rupture your eardrum or pop a blood vessel in your eye but that s unlikely. Some injuries from holding in a sneeze can be very serious such as ruptured brain aneurysms ruptured throat and collapsed lungs.
RELATED ARTICLE :
- what is the meaning of introvert and extrovert
- what is the lottery by shirley jackson about
- what is the longest animal in the world
Cause injury to the diaphragm break a blood.
Source : pinterest.com



















